想要具体了解福州陶瓷托槽矫正怎么样?
点击【在线咨询】直接问医生!方便!快捷!近年来,牙齿的健康越来越受到广大爱牙人士的关注。但是,因为少时家境不好的原因,很少有人会关注孩子们的牙齿健康。等孩子日益长大,牙齿畸形等问题逐渐影响了他们的生活和工作。这个时候,好的办法是采取矫正措施。那么,福州陶瓷托槽矫正怎么样?

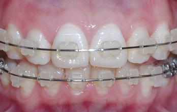
贝臣齿科医生指出:陶瓷托槽牙齿矫治方法,它所使用的托槽近乎透明,粘在牙齿上隐蔽性较好,使矫治过程悄然完成。目前应用的所有透明托槽均为氧化铝陶瓷,其优势在于美观的视觉效果,陶瓷的晶粒越大,透明性越好。透明托槽具有良好的抗污染性和抗变色能力,只要患者注意口腔卫生,就可以使托槽一直保持透明状态。
点击免费咨询,或者拨打24小时牙齿健康热线0591-88681777咨询,贝臣齿科医生为您解答!
陶瓷托槽矫正的优点如下:
1、托槽更加隐形化:透明度更高,托槽更隐形化;
2、治疗效果较佳:内衬金属槽沟,强固托槽,并有助于钢丝自由滑动,提高治疗效果;
3、佩戴舒适、方便:特殊设计的边缘斜面及翼展,使佩带更舒适,牵引更方便;
4、矫正时,拆卸容易:底部中央设应力集中沟,使托槽拆卸方便容易。

贝臣齿科温馨提示:求美者千万不能贪图一时的便宜,选择小的美容院,不但不能保证牙齿矫正的质量和效果,还会引发严重的口腔疾病。这样您不仅要多花更多的费用,还让您的身体承受更大的痛苦。因此,为了您的健康和美丽,一定要选择的齿科机构。
做牙齿矫正哪家医院好?
贝臣齿科拥有完善的齿科诊疗和设备,德国精工种植牙、德国四维隐形矫正、德国仿生美容冠、德国炫彩美白、德国显微超薄贴面、德国树脂充填、德国射频牙周治疗等核心项目;在设备上拥有德国西诺德全套牙科系统,普兰梅卡全景内窥镜系统、器械与消毒系统、进口麻醉系统等;在材料上拥有德国费亚丹、德国贝格、瑞典诺贝尔、瑞士ITI、美国3I等较领先材料,为广大爱牙人士提供更多人性化选择。

贝臣齿科温馨提示:牙齿畸形一定要选择正确的治疗方式和的口腔机构,只有这样才能拥有一副整齐洁白的牙齿。如果您有其他关于牙齿矫正、美容冠的相关问题,请点击在线咨询与在线医生联系。贝臣齿科以从医生要求、开展、服务流程、效果监测等环节全部依照齿科高标准设定,给予您高规格的齿科诊疗服务。
还有不明白的,点击免费咨询,或者拨打24小时贝臣美牙热线0591-88681777咨询,贝臣齿科医生为您解答!
在线咨询(向医生医生免费咨询)名医在线近距离